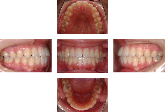
大人の歯列(反対咬合)の治療例です

反対咬合(受け口)の
永久歯の治療例

永久歯の治療例

永久歯の治療例 1

初診時年齢 15歳 主訴 受け口
診断名 反対咬合 装置名 マルチブラケット装置
抜歯の有無 非抜歯 治療期間・
通院回数
約2年半程度・30回
費用の目安 総額 ¥921,800(税込)
(費用内訳)
相談料 ¥1,100(税込)
精密検査・診断料 ¥51,700(税込)
施術・装置料 ¥770,000(税込)
処置料 ¥3,300(税込)/30回
リスク副作用
  • 固定式の装置を使用する場合、周辺の歯みがきが難しくなるため虫歯や歯肉炎になりやすい
  • 治療後に保定装置(リテーナー)を指示通り入れないことがあると後戻りする可能性があること
  • 治療中や治療後に指導内容が守れない場合、治療期間が延びたり後戻りする可能性があること
  • 個人差はあるが痛みがでる可能性があること
  • 装置を装着した後、装置が擦れて口内炎ができやすくなる
  • 上記の内容は個人差があるため、全ての方に当てはまるものではありませんので参考としてご覧ください。なお、矯正装置は完成物薬機法対象外の矯正装置であり医薬品副作用被害救済制度の対象外となる場合があります。

〈矯正歯科治療に伴う一般的なリスクや副作用について〉
・矯正治療で歯を動かすことで、歯に痛みや違和感を感じることや、頭痛・発熱が起こることがあります。個人差はありますが、3日から1週間でおさまっていきます。
・矯正装置が唇や舌、粘膜に擦れることで、口内炎ができたり、傷がつきやすくなることがあります。
・矯正装置を装着すると、歯磨きが複雑になり、磨き残しが増える傾向にあります。不十分な清掃状態が続くことで、虫歯・歯肉炎・歯周病に罹患しやすくなるため、自己管理と定期的なメンテナンスの受診が必要になります。
・顎間ゴムの使用や定期的な来院、その他の指導(MFTなど)に対する協力が得られない場合、歯並びに影響がでるような習癖(頬杖や食事の際に片側のみで噛むなど)があると矯正治療が円滑に進行しないことがあります。
・矯正治療中には、咬み合わせや歯並びが随時変化します。それに伴い、咬み合わせや顎の関節に違和感や痛みがでたり、一時的に歯並びが以前より悪くなったと感じる場合があります。
・歯を動かすことで、歯根吸収(歯の根が溶けて短くなる)や歯の変色(神経の壊死)が起こることがあります。変色の原因はこの限りではありませんが、変色が軽度の場合には、矯正治療後のホワイトニングで改善できる可能性があります。
・歯を移動させた際に、ブラックトライアングル(歯と歯の間の三角形の隙間)や歯肉退縮が起こることがあります。 そのような場合、ブラックトライアングル等の改善を目的とした歯の形態や大きさの修正を行うことがあります。
・必要に応じて、歯の形態の修正、咬み合わせの調整、歯の大きさの調整などを行う場合があります。
・歯の根が曲がっている場合や骨性癒着(歯と骨がくっついている状態)が起こっていると、歯が動かないことがあります。また、小帯(唇や頬にあるヒダ)の付着位置が悪かったり、骨隆起(歯を支える骨が膨らみコブのような形態になっている状態)があると、歯の移動を阻害する可能性があるため、矯正治療中にこれらを除去する処置が必要になる場合があります。
・接着型の矯正装置の場合、外れてしまうことがあります。外れてしまったときに、矯正装置を誤飲してしまう可能性がありますが、ほとんどの場合、自然に排泄されます。
・歯が動くスピード、治療の難易度、症例、使用する矯正装置によって治療期間が異なるため、目安として記載している治療期間や診断時にお伝えする予想治療期間が前後する可能性があります。
・矯正治療中に金属アレルギーの症状がでる場合があります。
・矯正治療終了時に矯正装置を外す際、歯に小さな亀裂や傷がついてしまう場合があります。
・矯正治療終了後、保定装置を指示通りに装着していただけない場合、後戻りが起こることがあります。後戻りが起こる要因はこれに限らず、様々な要素が原因となり起こることがあります。
・矯正治療前後に、被せ物治療をやり直す必要がある場合があります。(特に、マウスピース型矯正装置を用いた治療の場合には、治療途中に被せ物の形態が変化すると、マウスピースが合わなくなるため、治療前の処置が必要です)
・顎の成長、加齢、親知らず、歯周病などの影響により歯並びが変化し、再治療が必要になる場合があります。

初診時年齢 15歳
主訴 受け口
診断名 反対咬合
装置名 マルチブラケット装置
抜歯の有無 非抜歯
治療期間・通院回数 約2年半程度・30回
費用の目安 総額 ¥921,800(税込)
(費用内訳)
相談料 ¥1,100(税込)
精密検査・診断料 ¥51,700(税込)
施術・装置料 ¥770,000(税込)
処置料 ¥3,300(税込)/30回
リスク副作用
  • 固定式の装置を使用する場合、周辺の歯みがきが難しくなるため虫歯や歯肉炎になりやすい
  • 治療後に保定装置(リテーナー)を指示通り入れないことがあると後戻りする可能性があること
  • 治療中や治療後に指導内容が守れない場合、治療期間が延びたり後戻りする可能性があること
  • 個人差はあるが痛みがでる可能性があること
  • 装置を装着した後、装置が擦れて口内炎ができやすくなる
  • 上記の内容は個人差があるため、全ての方に当てはまるものではありませんので参考としてご覧ください。なお、矯正装置は完成物薬機法対象外の矯正装置であり医薬品副作用被害救済制度の対象外となる場合があります。

〈矯正歯科治療に伴う一般的なリスクや副作用について〉
・矯正治療で歯を動かすことで、歯に痛みや違和感を感じることや、頭痛・発熱が起こることがあります。個人差はありますが、3日から1週間でおさまっていきます。
・矯正装置が唇や舌、粘膜に擦れることで、口内炎ができたり、傷がつきやすくなることがあります。
・矯正装置を装着すると、歯磨きが複雑になり、磨き残しが増える傾向にあります。不十分な清掃状態が続くことで、虫歯・歯肉炎・歯周病に罹患しやすくなるため、自己管理と定期的なメンテナンスの受診が必要になります。
・顎間ゴムの使用や定期的な来院、その他の指導(MFTなど)に対する協力が得られない場合、歯並びに影響がでるような習癖(頬杖や食事の際に片側のみで噛むなど)があると矯正治療が円滑に進行しないことがあります。
・矯正治療中には、咬み合わせや歯並びが随時変化します。それに伴い、咬み合わせや顎の関節に違和感や痛みがでたり、一時的に歯並びが以前より悪くなったと感じる場合があります。
・歯を動かすことで、歯根吸収(歯の根が溶けて短くなる)や歯の変色(神経の壊死)が起こることがあります。変色の原因はこの限りではありませんが、変色が軽度の場合には、矯正治療後のホワイトニングで改善できる可能性があります。
・歯を移動させた際に、ブラックトライアングル(歯と歯の間の三角形の隙間)や歯肉退縮が起こることがあります。 そのような場合、ブラックトライアングル等の改善を目的とした歯の形態や大きさの修正を行うことがあります。
・必要に応じて、歯の形態の修正、咬み合わせの調整、歯の大きさの調整などを行う場合があります。
・歯の根が曲がっている場合や骨性癒着(歯と骨がくっついている状態)が起こっていると、歯が動かないことがあります。また、小帯(唇や頬にあるヒダ)の付着位置が悪かったり、骨隆起(歯を支える骨が膨らみコブのような形態になっている状態)があると、歯の移動を阻害する可能性があるため、矯正治療中にこれらを除去する処置が必要になる場合があります。
・接着型の矯正装置の場合、外れてしまうことがあります。外れてしまったときに、矯正装置を誤飲してしまう可能性がありますが、ほとんどの場合、自然に排泄されます。
・歯が動くスピード、治療の難易度、症例、使用する矯正装置によって治療期間が異なるため、目安として記載している治療期間や診断時にお伝えする予想治療期間が前後する可能性があります。
・矯正治療中に金属アレルギーの症状がでる場合があります。
・矯正治療終了時に矯正装置を外す際、歯に小さな亀裂や傷がついてしまう場合があります。
・矯正治療終了後、保定装置を指示通りに装着していただけない場合、後戻りが起こることがあります。後戻りが起こる要因はこれに限らず、様々な要素が原因となり起こることがあります。
・矯正治療前後に、被せ物治療をやり直す必要がある場合があります。(特に、マウスピース型矯正装置を用いた治療の場合には、治療途中に被せ物の形態が変化すると、マウスピースが合わなくなるため、治療前の処置が必要です)
・顎の成長、加齢、親知らず、歯周病などの影響により歯並びが変化し、再治療が必要になる場合があります。